സ്റ്റാഫ് റിപ്പോർട്ടർ
ഡബിള് ഡെക്കര് വണ്ടിയില് ഫോട്ടോഷൂട്ട്; വരുമാനം വര്ധിപ്പിക്കാന് പുതിയ മാര്ഗവുമായി കെഎസ്ആര്ടിസി
വെറും 4000 രൂപ ചെലവില് കിടിലന് ഫോട്ടോഷൂട്ടിനുള്ള അവസരമൊരുക്കി കെഎസ്ആര്ടിസി. ടിക്കറ്റിതര വരുമാനം വര്ധിപ്പിക്കാനുള്ള നടപടിയുടെ ഭാഗമായാണ് നിശ്ചിത കാലത്തേക്കുള്ള അടിപൊളി ഓഫറുമായി കെഎസ്ആര്ടിസി...
ഒരു തവണ ചാര്ജ് ചെയ്താല് 120 കി.മീ; സഫര് ജംബോയ്ക്ക് 2.5 ലക്ഷം രൂപ
ബാറ്ററിയില് ഓടുന്ന ത്രിചക്ര ചരക്കു വാഹനം വിപണിയിലെത്തിച്ച് കൈനറ്റിക്. കൈനറ്റിക് ഗ്രീന് എനര്ജി ആന്ഡ് പവര് സൊല്യൂഷന്സ് ലിമിറ്റഡിന്റെ വൈദ്യുത ത്രിചക്രവാഹനമായ കൈനറ്റിക് സഫര്...
സംസ്ഥാനത്തെ എല്ലാ സര്ക്കാര് ആശുപത്രികളിലും പോസ്റ്റ് കോവിഡ് ക്ലിനിക്കുകള് ആരംഭിക്കുന്നു; മാര്ഗരേഖ
സംസ്ഥാനത്ത് കോവിഡ് മുക്തരില് ഉണ്ടാകുന്ന ആരോഗ്യപ്രശ്നങ്ങള് ചികിത്സിക്കുന്നതിന് വേണ്ടി പ്രത്യേക ക്ലിനിക്കുകള് സ്ഥാപിക്കാന് മാര്ഗരേഖയായി. പ്രാഥമിക ആരോഗ്യകേന്ദ്രം മുതല് മെഡിക്കല് കോളജ് വരെ പോസ്റ്റ്...
ക്ലാസ് കഴിഞ്ഞാല് കച്ചവടം, റോഡരികില് കച്ചവടം നടത്തുന്ന ഈ സഹോദരങ്ങളില് നിന്ന് ഏറെ പഠിക്കാനുണ്ട്
ലോക്ഡൗണിനെ തുടര്ന്ന് സ്കൂള് തുറക്കാത്തതിനാല് കുട്ടികളെല്ലാം ഓണ്ലൈന് ക്ലാസ് വഴിയാണ് പഠിക്കുന്നത്. സ്കൂളില് പോകാത്തത് കൊണ്ട് കളിക്കാനും ടിവി കാണാനും ഇഷ്ടംപോലെ സമയവുമുണ്ട്. എന്നാല്...
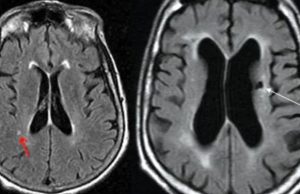
സൈലന്റ് സ്ട്രോക്ക് തിരിച്ചറിയാം ലക്ഷണങ്ങളിലൂടെ
ഇന്ന് എഴുപതുകള് കടന്നവരില് മൂന്നിലൊരു വിഭാഗത്തിന് എന്ന തോതില് കാണപ്പെടുന്ന രോഗാവസ്ഥയാണ് സ്ട്രോക്ക് അഥവാ പക്ഷാഘാതം. പ്രായമായവരില് മാത്രമല്ല ചെറുപ്പക്കാരിലും 'സ്ട്രോക്ക്' വരാറുണ്ട്. തലച്ചോറിനെ...
കുഞ്ഞിന് മുലയൂട്ടുമ്പോള് സ്മാര്ട്ഫോണ് ഉപയോഗിക്കാറുണ്ടോ? എങ്കില് ഇക്കാര്യങ്ങള് അറിഞ്ഞിരിക്കണം
കുഞ്ഞിന് മുലയൂട്ടുമ്പോഴും താലോലിക്കുന്ന സമയത്തും അമ്മമാര് സ്മാര്ട്ട് ഫോണ് ഒഴിവാക്കണമെന്ന് ആരോഗ്യവിദഗ്ധര് പറയുന്നു. വേറെ എങ്ങോട്ടും വഴി തിരിഞ്ഞു പോകാത്ത വിധത്തില് അമ്മയുടെ ശ്രദ്ധയും...
പാഷന് ഫ്രൂട്ട് വൈറ്റമിനുകളുടെ കലവറ: എന്നാല് കഴിക്കും മുന്പ് ചില കാര്യങ്ങള് ശ്രദ്ധിക്കണം
മിക്ക വീടുകളിലും വളരെ സുലഭമായി കാണുന്ന പഴമാണ് പാഷന് ഫ്രൂട്ട്. എന്നാല് ഇതിന്റെ ആരോഗ്യവശങ്ങളെക്കുറിച്ച് ആളുകള്ക്ക് അത്ര ധാരണയുണ്ടാകാന് സാധ്യത കുറവാണ്. ആന്റിഓക്സിഡന്റുകള് ധാരാളം...
കൃഷിയെന്നാല് ഇവര്ക്ക് ജീവവായു; അന്താരാഷ്ട്ര വെബ്മിനാറില് സംസാരിക്കാനൊരുങ്ങി കാളി മൂപ്പത്തി
ജൈവ കര്ഷകരെ പ്രോത്സാഹിപ്പിക്കാനായുള്ള അന്താരാഷ്ട്ര സംഘടനയായ പെസ്റ്റിസൈഡ് ആക്ഷന് നെറ്റ് വര്ക്ക് (പാന്) സംഘടിപ്പിക്കുന്ന അന്താരാഷ്ട്ര വെബിനാറില് പങ്കെടുക്കാനൊരുങ്ങി കാളി മൂപ്പത്തി. വെബ്മിനാറില് ഇന്ത്യയെ...
എല്പിജി റീഫില് ബുക്കിങ്ങിന് ഏകീകൃത നമ്പര് അവതരിപ്പിച്ച് ഇന്ഡെയ്ന്
ഇന്ത്യന് ഓയിലിന്റെ പാചകവാതക ബ്രാന്ഡായ 'ഇന്ഡെയ്ന്', എല്പിജി റീഫില് ബുക്കിങ്ങിനായി ഏകീകൃത നമ്പര് അവതരിപ്പിക്കുന്നു. 77189 55555 എന്ന നമ്പര് വഴിയാണ് നവംബര് മുതല്...
റെയില്വേ സ്റ്റേഷനില് നിന്ന് ടൂവീലര് വാടകയ്ക്ക്; മണിക്കൂറിന് 150 രൂപ, പെട്രോള് അടിക്കണം, പുതിയ...
ദൂരെയുള്ള ഏതെങ്കിലും സ്ഥലത്തേക്ക് ട്രെയിനിലെത്തി, തുടര് യാത്രക്ക് ടാക്സി, ഓട്ടോ മുതലായ സൗകര്യങ്ങളെ ആശ്രയിക്കുന്നവരാണ് മിക്കവരും. ഇത്തരക്കാര്ക്ക് ഒരു സ്ന്തോഷവാര്ത്തയിതാ. റെയില്വേ സ്റ്റേഷനില് നിന്ന്...













